Invisalign

Onzichtbare beugel


Een invisalign behandeling bestaat uit een reeks van onzichtbare uitneembare hoesjes (aligners). Met dit digitaal behandelsysteem worden de tanden en kiezen geleidelijk in de gewenste positie verschoven.

De aligners zijn gemaakt van flexibel materiaal en met een laser bijgesneden tot aan de tandvleesrand voor comfort tijdens het dragen. Ze zijn vrijwel transparant en met wat oefening eenvoudig in en uit te nemen. Voor een goed behandelresultaat is het belangrijk de hoesjes 22 uur per dag te dragen. Tijdens eten, drinken en tandpoetsen mogen deze natuurlijk eruit. Er wordt een plastic doosje bij geleverd waarin je de aligners kunt bewaren. De aligners kunnen in de regel een keer per week vervangen worden door een nieuwe set. U krijgt een aantal sets mee naar huis in de periode tot aan de volgende controle.

Het proces van een Invisalign-behandeling omvat de volgende stappen:

Documentatie

Voor de start van een aligner behandeling maken wij naast lichtfoto’s, röntgenfoto’s ook een digitale scan van u gebit. Met deze gegevens kan de orthodontist een ClinCheck maken.

laat minder zien

Clincheck

Een ClinCheck is een gepersonaliseerd digitaal behandelvoorstel. De behandeling wordt virtual vooraf in het kleinste detail uitgewerkt. U ziet vooraf hoe uw gebit er op het eind van de behandeling zal uitzien. Deze kan uiteraard nog worden aangepast. Nadat u akkoord bent met dit plan zullen de aligners worden gemaakten kunnen deze worden besteld.

laat meer zien

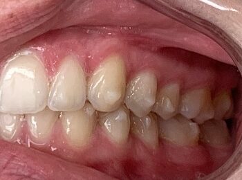
Plaatsen van de beugel

Bij het plaatsen van de aligners zullen in de meeste gevallen attachments op een aantal tanden worden geplaatst, zoals op de foto te zien is. Dit zijn kleine tandkleurige lijmbolletjes. Deze attachments dienen als extra drukpunten.
In het begin kan de behandeling gevoeligheid veroorzaken omdat deze druk uitoefent op tanden en kiezen. Dit is normaal en zal na enkele dagen afnemen. Als de pijn aanhoudt, neem dan contact op met ons

laat meer zien

Controles

Tijdens de behandeling maken we controle afspraken om de 5 tot 12 weken. Hierbij wordt de voortgang van de behandeling gecontroleerd. Als het nodig is maken we ruimte tussen de tanden (IPR). Dit gebeurt dan om alle tanden netjes naast elkaar te kunnen zetten. Deze ruimtes worden van tevoren berekend.

laat meer zien

Additional Aligners

In de regel is na het eerste setje aligners nog een of twee extra setjes nodig voor het fine-tunen van u tanden. We maken dan een scan en zullen de additional aligners bestellen. Dit hoort bij de behandeling en er gelden geen extra techniekkosten.

laat meer zien

Heeft u vragen over onze dienstverlening, beugels, noodgevallen en wilt u contact opnemen met ons? Dan kan dat via de contactpagina.